pinkandtrash.com
HOME
About
Contact
Disclaimer
Privacy
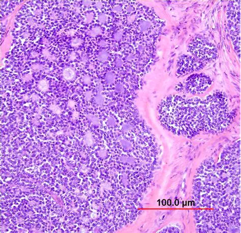
Invasive Cervical Carcinoma
Oct 13, 2025
by pinkandtrash.com
110
views